Horarios de atención del Centro de Diagnostico Cardiovascular
Campus Santa Fe lunes a viernes de 07:00 a 20:00 h |
Campus Observatorio lunes a viernes de 07:00 a 20:00 h |
Centro de diagnóstico Cardiovascular
En el Centro de Diagnóstico Cardiovascular, se podrán diagnosticar y tratar las enfermedades ya presentes como angina de pecho, infarto agudo al miocardio, insuficiencia cerebrovascular, insuficiencia cardiaca, insuficiencia renal, entre otras y rehabilitar e integrar al paciente a su vida normal.
En el Centro de Diagnóstico Cardiovascular, se podrán diagnosticar y tratar las enfermedades ya presentes como angina de pecho, infarto agudo al miocardio, insuficiencia cerebrovascular, insuficiencia cardiaca, insuficiencia renal, entre otras y rehabilitar e integrar al paciente a su vida normal.

Imagen cardiovascular
El Centro Médico ABC cuenta con la más alta tecnología en imagen cardiovascular y con cardiólogos especialistas en cada una de las 4 modalidades de imagen incluyendo ecocardiografía, cardiología nuclear, tomografía cardiaca y resonancia magnética cardiovascular.
Los estudios de imagen cardiovascular constituyen hoy día un grupo de auxiliares diagnósticos indispensables: a)
en la prevención de enfermedades cardiovasculares, b) para establecer un diagnóstico oportuno, c) en la planeación del tratamiento médico y, d) en la evaluación de la respuesta al tratamiento de las enfermedades del corazón.
Los estudios de imagen cardiovascular son seguros y pueden ser realizados como estudios ambulatorios o bien
en pacientes hospitalizados para el estudio de pacientes con diversas enfermedades del corazón tales como cardiopatía isquémica, enfermedad arterial coronaria, miocardiopatías, valvulopatías, endocarditis, y arritmias cardiacas.
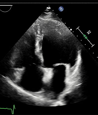
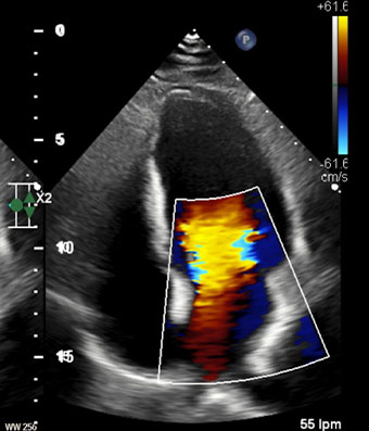
Ecocardiografía
El ecocardiograma o ecocardiografía utiliza ondas sonoras de alta frecuencia para obtener imágenes del corazón en vivo y que son proyectadas en una pantalla. Este auxiliar diagnóstico aporta información en 30 a 60 minutos de la forma, tamaño, función y movimiento del corazón así como de sus estructuras internas, como por ejemplo las válvulas cardiacas. Este estudio es seguro en pacientes adultos, en pacientes pediátricos (ecocardiograma pediátrico) o incluso en mujeres embazadas para estudiar el desarrollo del corazón del bebé en la cavidad uterina (ecocardiografía fetal).
Las imágenes ecocardiografías del corazón pueden ser obtenidas en diferentes modos (unidimensional, bidimensional o tridimensional, Doppler, Doppler color), utilizando una sonda externa (ecocardiograma transtorácico) o una sonda interna (ecocardiograma transesofágico) y puede ser adquirido en reposo, en estrés con esfuerzo físico o con el uso de medicamentos (estrés con dobutamina), dependiendo del diagnóstico y de la indicación de tú médico.
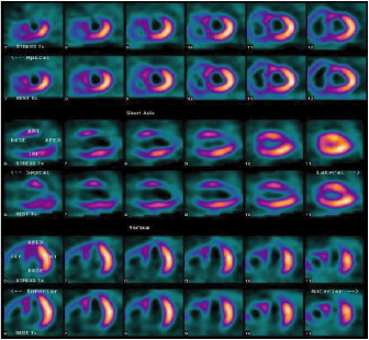
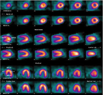
Cardiología nuclear
Los estudios de medicina nuclear en cardiología o cardiología nuclear son auxiliares diagnósticos que utilizan diversos radiotrazadores de baja energía que al ser inyectados por la vena al paciente, emiten rayos gama que son captados por un tomógrafo especial (SPECT cardiaco).
Estos radiotrazadores demuestran cuanta sangre llega al músculo cardiaco a través de las arterias coronarias, a esto se le
conoce como evaluación de la perfusión miocárdica. Cuando existe la sospecha de angina de pecho y/o infarto (cardiopatía isquémica) este estudio puede demostrar la disminución de sangre en el musculo cardiaco y su repercusión en la función del corazón.
La evaluación de la perfusión miocárdica con SPECT cardiaco se realiza mediante dos imágenes de 20 minutos, la primera imagen se obtiene una hora después de la inyección del radiotrazador en reposo y la segunda imagen se obtiene después de la inyección del radiotrazador mientras que el paciente hace una prueba de esfuerzo en banda sin fin o bien, para las personas que no pueden hacer ejercicio físico, con la administración de un medicamento. Todo el proceso tiene una duración de 3 a 4 horas y esta supervisado por especialistas en cardiología nuclear.
Existen otras indicaciones de los estudios de cardiología nuclear como por ejemplo la evaluación de la función cardiaca y de las enfermedades infecciosas o inflamatorias del corazón.
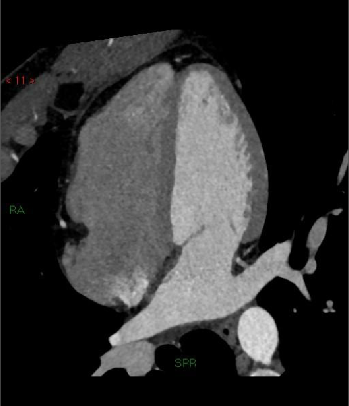
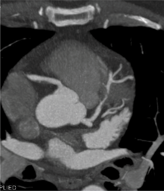
Tomografía cardiaca
Este estudio es adquirido con un tomógrafo de alta velocidad y baja radiación que permite evaluar las arterias coronarias y demostrar la ausencia o la presencia de placas ateromatosas, que son las que ocasionan un infarto (enfermedad arterial coronaria). Mediante la emisión de rayos X es posible obtener imágenes bidimensionales y tridimensionales del exterior y del interior de las arterias coronarias, del corazón y de la función cardiaca.
Una modalidad de la tomografía cardiaca muy utilizada hoy día es el índice de calcio coronario que es útil para identificar oportunamente la presencia de calcio que se asocia con las placas de ateroma que obstruyen tus arterias y ocasionan un infarto. Este estudio se adquiere en menos de un minuto y no se necesita utilizar medio de contraste.
El calcio que se deposita en las arterias coronarias es la “primera señal” que podemos medir antes de que aparezcan los síntomas de la enfermedad y en conjunto con las indicaciones de tu médico, podrás prevenir la progresión de la enfermedad e incluso un infarto.
Cuando es necesario hacer una evaluación mas precisa de tus arterias coronarias la tomografía cardiaca permite, mediante la inyección de contraste por una vena del brazo, estudiar el interior de las arterias y demostrar si existen o no placas que impiden el paso de sangre hacia el corazón, a esta modalidad de la tomografía cardiaca le conocemos como angiotomografía coronaria, que se adquiere en 30 a 60 minutos, y es hoy día el estudio mas confiable para evaluar en forma no invasiva las arterias que nutren al corazón y que cuando se enferman pueden ocasionarte un infarto.
Existen otras indicaciones de la tomografía cardiaca que permiten evaluar las válvulas del corazón y de los grandes vasos como la aorta.
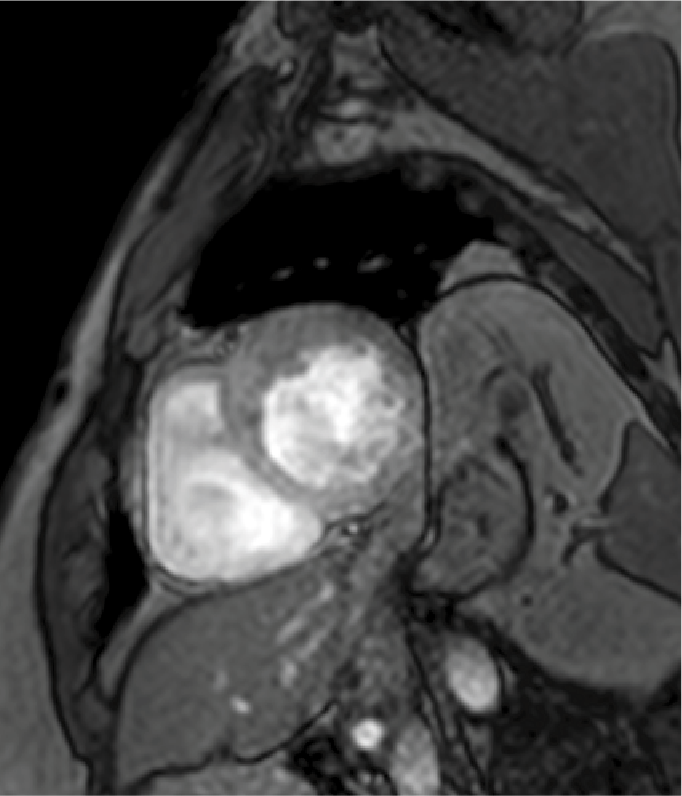
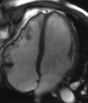
Resonancia magnética cardiaca
La resonancia magnética cardiaca es un una técnica de imagen que permite estudiar detalladamente y en una sola exploración la función y la estructura del corazón. Este auxiliar diagnóstico utiliza un potente campo magnético, sin radiación, para generar imágenes detalladas de las estructuras del corazón.
La resonancia magnética esta indicada en la evaluación de las cardiopatías congénitas tanto en el niño como en el adulto, en la evaluación de la perfusión miocárdica (resonancia cardiaca con gadolinio), de la función cardiaca, de las enfermedades del músculo cardiaco (miocardiopatías), tumores del corazón y del tejido que rodea al corazón (pericardio).
Este estudio es bien tolerado por la mayoría de las personas. El campo magnético no es dañino, pero puede causar el mal funcionamiento de algunos dispositivos médicos. La mayoría de los implantes ortopédicos no presentan riesgos, pero siempre debes informar al técnico de resonancia magnética si tiene algún dispositivo o metal en su cuerpo.
Algunos de los estudios que se realizan en el Centro de diagnóstico Cardiovascular son:
Electrocardiograma (ECG)
Está indicado para la detección de arritmias sintomáticas, como parte de la valoración preoperatoria o cuando un paciente cuenta con uno a tres factores de riesgo cardiovascular y se desea descartar algún problema de insuficiencia coronaria.
Estudios Holter ECG
Es un monitoreo de la frecuencia y el ritmo cardíaco de una duración de 24 horas. Se realiza una monitorización cardiaca continua por 24 horas, está indicado en la valoración y búsqueda de arritmias cardiacas.
MAPA (Monitoreo Ambulatorio de Presión Arterial)
También llamado holter de tensión arterial, permite registrar la presión arterial durante un periodo de 24 horas, es utilizado en la búsqueda de hipertensión arterial y en pacientes con diagnóstico previo de hipertensión que se encuentran bajo tratamiento, para estratificar un adecuado control.
Pruebas de esfuerzo (Ergometría)
La prueba de esfuerzo con banda está indicada en pacientes en los cuales se busca, por su sintomatología, descartar un problema de insuficiencia coronaria y en los cuales el electrocardiograma en reposo es normal; siempre y cuando los pacientes estén estables y se haya descartado un evento cardiovascular agudo.
Clínica de Prevención
y Detección Cardiovascular
Queremos ayudarte a prevenir, detectar o solucionar enfermedades cardiovasculares, es por ello que contamos con las mejores opciones para tu diagnóstico y tratamiento.
Los estudios realizados en el Centro Cardiovascular del Centro Médico ABC, son interpretados por cardiólogos para darte la mayor certeza en el diagnóstico.
En caso de que necesites un estudio de diagnóstico comunícate al teléfono 5552303702 para recibir instrucciones de como debes prepararte para estos estudios y agendar una cita.
Dónde encontrarnos
Campus Observatorio
Sur 136 No. 116, Col. Las Américas, Álvaro Obregón, 01120, Cd. de México.
Campus Santa Fe
Av. Carlos Graef Fernández 154, Col. Santa Fe, Cuajimalpa, 05300, Cd. de México.
